Konya'da bir okul müdürü 6 yıl yorgun mermiyle yaşadı
Yayınlanma:
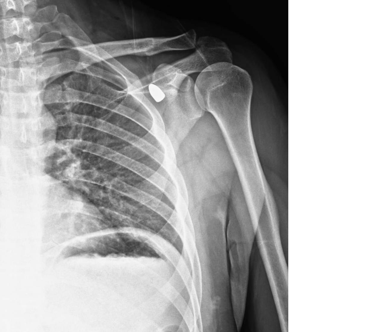
Konya'da bir kişinin vücudundaki yorgun mermi yıllar sonra çıkarıldı.
Konya'nın Akşehir ilçesinde altı yıl önce bir okul müdürünün omzuna isabet eden yorgun mermi tıbbi müdahaleyle çıkarıldı. Okul müdürü Celal Şenyiğit, Adsız Mahallesi'ndeki çay ocağında, altı yıl önce omzuna isabet eden yorgun mermiyle yaralandı.

HAREKET KAYBI RİSKİ NEDENİYLE ÇIKARILMADI
Hareket kaybı riski nedeniyle çıkarılamayan mermi, zamanla Şenyiğit'in koltuk altına ilerledi. Ağrı ve sertlik şikayetiyle Akşehir Devlet Hastanesine başvuran Şenyiğit'in koltuk altındaki kitlenin, omzuna saplanan yorgun mermi olduğu tespit edildi.

MERMİ İNCELEMEYE GÖNDERİLDİ
Mermi, gerçekleştirilen operasyonla çıkarıldı. Şenyiğit, olayla ilgili şikayetçi olduğunu, çıkarılan merminin incelemeye gönderildiğini söyledi.
Kaynak:Anadolu Ajansı
Resmi İlanlar
KONYA

Türkçe karakter kullanılmayan yorumlar onaylanmamaktadır.